新型コロナウイルス感染対策として当院では「患者様と患者様が院内で接触せぬよう、完全予約制として1枠1予約システムを導入しております。


排尿困難を自覚し単なる前立腺肥大と判断、2年が経過してしまったケース。
その後も症状悪化は著しく、総合病院の泌尿器科受診後、すみやかに手術が実施された。
引き続きホルモン療法も併用されたが、1年ほど経過時点で再発。腫瘍マーカーの著しい上昇も止められなかった。
やむなく友人に勧められたサプリメント類も試すが状況に大きな変化は現れず、この時点で当院外来を受診。
即座にがん免疫の状況を詳細に調べる高度精密血液検査システム「リスクチェッカー」が行われた。
それにより抗がん性サイトカインの著しい低下(抗がん性免疫力がほとんど失われた状態) と、短命になりがちなヘルパーT細胞2系(Th2)比率の上昇を確認。
次なる治療ポイントが抽出された。

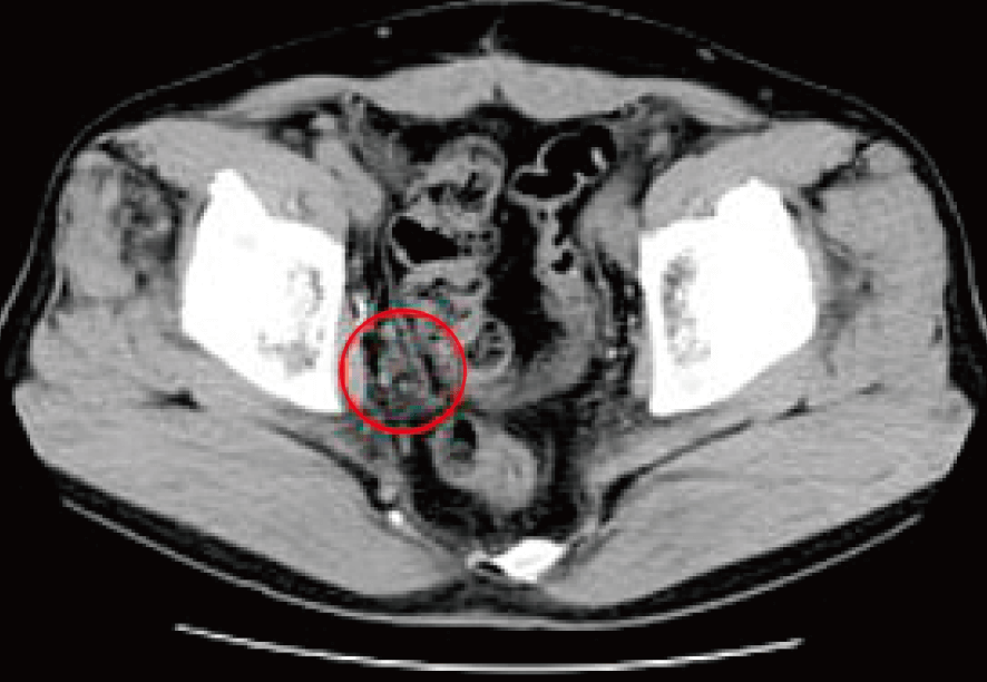
治療前CTでは骨盤底部、右側(写真では左・赤マル部分)に、リンパ節転移として腫れたがん病巣が数個認められた。

抗腫瘍効果の中心をなす抗がん性サイトカイン全般に低下が認められ、サプリメント乱用による免疫枯渇現象の発生を確認。
またヘルパーTh2細胞比率の上昇は予後不良を強く示唆し、早急なる免疫治療・改善対応が求められた。

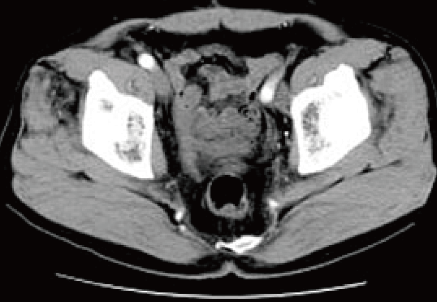
提示した下腹部CT写真は治療終了後およそ3カ月経過時点のもの。
治療前に存在していた骨盤内のリンパ節転移もほぼ消滅していた。
数年前から尿の出が悪く、かかりつけのクリニックにて前立腺肥大症のホルモン治療のみを行っていたケースである。
その後しばらくして比較的大きな病院で検査を受けたところ前立腺がんと診断、しかもがんは大きく広がっており、その時点で“手立てなし”と診断されてしまっていた。
そして続いて行われた全身精密検査で左の足の付け根(大たい骨)にがんの転移が認められ、その後は痛みのため徐々に歩行も困難な状況に陥っていた。まさに“医者を選ぶのも寿命のうち”である。
地元かかりつけクリニックの医師は特に前立腺の専門医ではなかった。聞くところによると、尿の出にくくなった高齢男性にはほとんどといってよいほど自分と同じ治療しかされてもらっていない。しかしこの時点での診断は“前立腺がん+遠隔転移(大たい骨)”であり、もっとも進んだステージ4である。

免疫治療前に血管カテーテルによって転移したがんそのものを調査した時の画像。
大たい骨の周囲にもやもやとしたがんの新生血管が 密に認められる。(黒い部分)
当然この状況まで進んでしまうといわゆる保険治療で実施される標準治療での根治見込みは全く無い。
いわば“治療の手立てなし”という状況である。この時点の予後見込みはおよそ3ヶ月から半年程度。
保険治療あるいは効果のあいまいな民間療法だけに頼っていたのでは徐々に悪化することが明白であった。

治療が一段落した後の調査画像。
治療前に大量に存在したがんの新生血管はほとんど消失。
治療はおよそ約4ヶ月間、外来通院と入院によって行われ、その結果著しい痛みを伴う症状はおよそ1カ月で改善。
その後にがん活動性は治療開始3ヶ月で低下傾向を見せ始め、急速な縮小を認めた。
まずは近い将来に予想されたがん進行による厳しい予後を回避し、がんとの共存状態を作り出す。
こうして治療を十分に行う時間的余裕を確保した上で、さらに体内からのがん細胞排除を目的としたサイトカイン誘導治療をしばらく継続する方針がとられることになった。

がん細胞の表面にがんの目印を出現させ、免疫細胞の攻撃を誘導するMIT独自の免疫治療です。
がんの場合、全3回〜5回程度の通院で治療完了します。
※1回1時間程度
ネオアンチゲン免疫治療は抗がん剤治療、放射線治療など、そのほかの標準治療と並行して治療を受けることができます。
がん治療は時間との闘いとなる為、初診の医師の判断によって、直ぐに治療を開始する場合もございます。
MITでは上記の方やその他様々な症状の方を対象に、複合がん免疫治療である「ネオアンチゲン免疫治療」を提供しています。
当院の治療は、保険適用外の自由診療のため全額自己負担になります。 平均的な費用例はこちらをご確認ください。
当院のネオアンチゲン免疫治療は、あらゆるステージ・症状の患者様に治療をお受けいただくことが可能です。 現在抗がん剤治療を受けられている方から再発・進行がんの転移がある方まで、ステージの進んだ患者様もこれまでに多数ご来院いただいています。
また、当院がで行うネオアンチゲン免疫治療は、がん標準治療(これまで治療を受けてきた病院での治療)と併用して行うことができます。例えば、かかりつけ病院で化学療法や放射線治療を行いながら通院により当院にて免疫治療を行うといった併用治療が可能です。
まずは私たちMITに相談ください。万全の体制で「患者様の治りたい」という思いをサポートしてまいります。
※ 対象は自立歩行ができる方、お食事(流動食含む)が摂れている方となります。
※ 小児がんは対象外となります。

がん細胞に目印をたて、免疫細胞の攻撃を誘導し
症状に合わせた多種な攻撃を仕掛ける。
それが当院のネオアンチゲン免疫治療です。
ネオアンチゲン免疫治療の最大の特徴は、がん細胞の表面に「がんの目印」を出現させ、免疫細胞の攻撃を誘導することです。
そのためネオアンチゲン免疫治療は原発がんはもちろん、転移がんや進行がんにも適応します。
ネオアンチゲン免疫治療により出現させた「がんの目印」を目標に、原発がん転移がんの区別なく、免疫細胞の攻撃を誘発させます。
また、がんの種類や患者様の症状にあわせて、がん細胞への多様な攻撃方法を備えているのも特徴です。
サイトカイン誘導治療やアポトーシス誘導治療をはじめ、免疫チェックポイント阻害治療、細胞外マトリクス阻害治療、がん幹細胞治療等を駆使する、プレシジョンメディシン(精密医療)時代の新しいがん免疫治療です。
がんの目印 がんペプチドとは?
免疫細胞は、がん細胞が放出する「がんペプチド」という特殊な物質を目印に、がんへの攻撃を仕掛けます。
しかし増殖を繰り返すがん細胞には、この「がんペプチド」を細胞内に隠し、免疫細胞からの攻撃を避ける術をを備えています。
そのため当院の「ネオアンチゲン免疫治療」では、まず最初に「がんの目印」を出現させ、免疫細胞の攻撃を誘導・誘発させることからはじめます。
※MITでは患者様、ご家族様が理解しやすいようにできる限り専門用語を避けてわかりやすく説明しています。
がん細胞の表面にがんの目印を出現させ、免疫細胞の攻撃を誘導するMIT独自の免疫治療です。
がんの場合、全3回〜5回程度の通院で治療完了します。
※1回1時間程度
当院のネオアンチゲン免疫治療を行うためには、必ず当院のリスクチェッカー検査を行っていただきます。院長による詳細な分析結果の説明のもと、患者様一人ひとりに最適な治療を開始いたします。
約1〜2週間毎の通院治療から、治療経過によって約3ヶ月間程の治療期間を要します。
※ネオアンチゲン免疫治療は、通院1回ごとの治療評価が可能です。そのため、必ず何回受けなければならないといった制約はなく、治療費用も治療毎のお支払いとなります。
※稀に副作用として顔のほてりなどが生じる可能性があります。
※通院期間は患者様によって異なります。
リスクチェッカー検査はがんの早期発見、治療後の再発や転移の恐れの厳重な管理を目指す精密ながん検診です。検査は採血にかかるおよそ1〜2分程で完了する為、体への負担が少ない検査です。
全身27項目にも及ぶ精密検査から「がん発生の素地となる異常の有無」「がんの成長に際して増加する異常物質」を見極め、画像を用いた検診だけでは発見し得ない早期のリスク取り除きに努めます。
あなたのがん細胞に目印を立て、そのがん細胞だけを集中的に攻撃する。
転移を繰り返すいわゆる進行性のがん細胞は、活性化キラーT細胞からの攻撃を逃れるため、多くのケースで自分自身の目印となるMHCクラスI分子をがん細胞の中に隠してしまいます。
各種免疫療法等で、免疫力を高めても免疫機能ががん細胞を見つけられなくなり、がんの進行が収まらない理由はここにあります。
その隠れたMHCクラスI分子を引っ張り出し、免疫機能にがんの目印を教え続けることが、内因性ペプチド誘導治療です。
※「EPI complex点滴」での免疫抑制物質を排除する際に、稀に副作用として顔のほてりなどが生じる可能性があります。
※MITでは患者様、ご家族様が理解しやすいようにできる限り専門用語を避けてわかりやすく説明しています。
発現させた内因性ペプチドを目印に、活性化キラーT細胞が強力に攻撃を開始
がんの目印であるがんペプチドを感知したナイーブT細胞より成長したキラーT細胞・ヘルパーT細胞は、キラーT細胞ががん細胞への攻撃役・ヘルパーT細胞がその補助役として動き出します。
サイトカイン誘導治療は、ヘルパーT細胞の働きと、がん細胞を攻撃するキラーT細胞の特性に注目し、サイトカインインデューサー(CS-82MD)の短期間内服によって行われます。
※リンパ球機能を増殖させるにあたり、稀に副作用として顔のほてりなどが生じる可能性があります。
※MITでは患者様、ご家族様が理解しやすいようにできる限り専門用語を避けてわかりやすく説明しています。
免疫システムでがんに傷害を与えたのちに、ミトコンドリアからがん細胞を自滅させるアポトーシスを発令させる
本来正常な細胞は、細胞に大きな異変が生じた際、ミトコンドリアによって自ら自滅を行おうとする反応、アポトーシス(プログラムされた細胞死)が発令されます。がん細胞が無限に増殖しつづける理由には、がん細胞がミトコンドリアに甚大な障害を与えているためであり、この改善が急務となります。
アポトーシス誘導治療は、電子供与体ES-27含有成分の内服によって、がん細胞の内部に備わったミトコンドリア内部の酸化的リン酸化、電子伝達系といったしくみの改善を促し、効果的なアポトーシスの発令をめざす治療手法です。
※稀に副作用として顔のほてりなどが生じる可能性があります。
※MITでは患者様、ご家族様が理解しやすいようにできる限り専門用語を避けてわかりやすく説明しています。
内容 |
費用(税別) | |
| 初診料 | 20,000円 | 全ての患者様に、一律にかかる費用となります。 |
|---|---|---|
| リスクチェッカー検査 | 120,000円 | 免疫状況の問題点(がんの活動性、免疫低下のタイプ、性質等)を調べる検査です。 |
| 内因性ペプチド誘導(1回) | 520,000円 | リスクチェッカー検査結果をもとに患者様に合わせて治療法を選択します。 |
| サイトカイン誘導(1ヶ月分) | 40,000円 | |
| アポトーシス誘導(1ヶ月分) | 89,600円 | |
当院の治療は、保険適用外の自由診療のため全額自己負担になります。 |
||
内容 |
費用(税別) | |
| 初診料 | 20,000円 全ての患者様に、一律にかかる費用となります。 |
|
|---|---|---|
| リスクチェッカー検査 | 120,000円 免疫状況の問題点(がんの活動性、免疫低下のタイプ、性質等)を調べる検査です。 |
|
| 内因性ペプチド誘導(1回) | 520,000円 リスクチェッカー検査結果をもとに患者様に合わせて治療法を選択します。 |
|
| サイトカイン誘導(1ヶ月分) | 40,000円 | |
| アポトーシス誘導(1ヶ月分) | 89,600円 | |
当院の治療は、保険適用外の自由診療のため全額自己負担になります。 |
||
費用の一例(税込) |
|
| 初診料 | 20,000円 |
|---|---|
| リスクチェッカー検査 | 120,000円 |
| サイトカイン誘導治療(1ヶ月分) | 40,000円 |
| 消費税 | 14,400円 |
| 合計(税込) | 194,400円 |
ネオアンチゲン免疫治療は、細胞培養する免疫治療と違い治療回数を確定する必要がないため、
患者様のご状態に合わせたテーラーメイド治療が可能です。
治療費やお支払い方法に関しご不明な点などがございましたら、まずはお気軽にご相談ください。
当院での治療は、医療費控除の対象となります。
また、通院時にかかった交通費に関しても医療費控除の対象となります。
詳しくはお電話にてお問い合わせください。
※検査や治療費は都度のお支払いとなりますので、治療開始時にまとめてお支払いいただく必要はありません。
※従来の免疫療法とは手法が違うため、培養費用はかかりません。




よくあるご質問以外にもご不明な点がございましたら、お電話にてお問い合わせくださいませ。
ネオアンチゲン免疫治療による有効症例や、MITについての詳しい資料を、無料にてお送りさせていただきます。
資料は郵送でお届け致します。
到着まで2〜3日のお時間を要しますことをご了承ください。
下記フォームに必要事項をご入力いただき、「プライバシーポリシー」をご確認のうえ送信してください。
MITは前立腺がん患者が多く来院されているクリニックです。
詳しい症例は下記の資料をご請求ください。
MITは前立腺がん患者が多く来院されているクリニックです。詳しい症例は下記の資料をご請求ください。

〒104-0028
東京都中央区八重洲 2-5-6 KBYビル
3F 東京MITクリニック
TEL: 0120-621-636
電話受付:月〜金曜 9:30〜18:30(土日祝日を除く)