新型コロナウイルス感染対策として当院では「患者様と患者様が院内で接触せぬよう、完全予約制として1枠1予約システムを導入しております。


20年来のC型肝炎にて通院中、5年前に肝臓がんを指摘された症例。この時点では肝硬変も併発しており、手術適応は無しと診断。その後ラジオ波治療を数回くり返すも、再発を繰り返し徐々に悪化。
これ以上のラジオ波治療は不可能となり、当院外来を受診。
即座にがん免疫の状況を詳細に調べる高度精密血液検査システム「リスクチェッカー」がなされた。それにより抗がん性サイトカインの著しい低下(リンパ球機能がほとんど消失)と、短命を示唆するヘルパーT細胞2系(Th2)比率の異常上昇を確認。
次なる治療ポイントが抽出された。

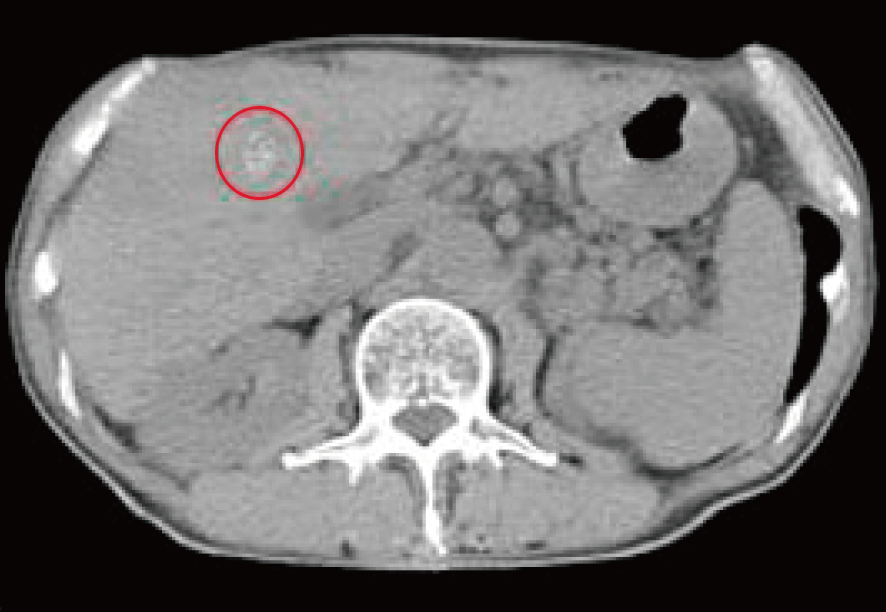
治療前CTでは肝臓右葉にラジオ波治療の痕跡と、その周囲(赤マルで囲んだ内部のやや濃い色調部分)に
再発・拡大したがん腫瘍を認めた。

抗腫瘍効果の中心をなす抗がん性サイトカインすべてに著しい減少が認められ、全くがん腫瘍の排除ができない状況を確認。
またヘルパーTh2細胞比率の上昇は今後の予後不良を強く示唆し、早急なる免疫改善対応が求められた。

およそ8カ月が経過し、本治療で行う内服・点滴治療もすべて終了。
その時点で肝臓に再発したがん腫瘍はほぼ消失。
以後3カ月ごとの画像診断検査、6カ月ごとのリスクチェッカー検査(免疫採血)併用による経過観察を指示した。

がん細胞の表面にがんの目印を出現させ、免疫細胞の攻撃を誘導するMIT独自の免疫治療です。
がんの場合、全3回〜5回程度の通院で治療完了します。
※1回1時間程度
ネオアンチゲン免疫治療は抗がん剤治療、放射線治療など、そのほかの標準治療と並行して治療を受けることができます。
がん治療は時間との闘いとなる為、初診の医師の判断によって、直ぐに治療を開始する場合もございます。
MITでは上記の方やその他様々な症状の方を対象に、複合がん免疫治療である「ネオアンチゲン免疫治療」を提供しています。
当院の治療は、保険適用外の自由診療のため全額自己負担になります。 平均的な費用例はこちらをご確認ください。
当院のネオアンチゲン免疫治療は、あらゆるステージ・症状の患者様に治療をお受けいただくことが可能です。 現在抗がん剤治療を受けられている方から再発・進行がんの転移がある方まで、ステージの進んだ患者様もこれまでに多数ご来院いただいています。
また、当院がで行うネオアンチゲン免疫治療は、がん標準治療(これまで治療を受けてきた病院での治療)と併用して行うことができます。例えば、かかりつけ病院で化学療法や放射線治療を行いながら通院により当院にて免疫治療を行うといった併用治療が可能です。
まずは私たちMITに相談ください。万全の体制で「患者様の治りたい」という思いをサポートしてまいります。
※ 対象は自立歩行ができる方、お食事(流動食含む)が摂れている方となります。
※ 小児がんは対象外となります。

がん細胞に目印をたて、免疫細胞の攻撃を誘導し
症状に合わせた多種な攻撃を仕掛ける。
それが当院のネオアンチゲン免疫治療です。
ネオアンチゲン免疫治療の最大の特徴は、がん細胞の表面に「がんの目印」を出現させ、免疫細胞の攻撃を誘導することです。
そのためネオアンチゲン免疫治療は原発がんはもちろん、転移がんや進行がんにも適応します。
ネオアンチゲン免疫治療により出現させた「がんの目印」を目標に、原発がん転移がんの区別なく、免疫細胞の攻撃を誘発させます。
また、がんの種類や患者様の症状にあわせて、がん細胞への多様な攻撃方法を備えているのも特徴です。
サイトカイン誘導治療やアポトーシス誘導治療をはじめ、免疫チェックポイント阻害治療、細胞外マトリクス阻害治療、がん幹細胞治療等を駆使する、プレシジョンメディシン(精密医療)時代の新しいがん免疫治療です。
がんの目印 がんペプチドとは?
免疫細胞は、がん細胞が放出する「がんペプチド」という特殊な物質を目印に、がんへの攻撃を仕掛けます。
しかし増殖を繰り返すがん細胞には、この「がんペプチド」を細胞内に隠し、免疫細胞からの攻撃を避ける術をを備えています。
そのため当院の「ネオアンチゲン免疫治療」では、まず最初に「がんの目印」を出現させ、免疫細胞の攻撃を誘導・誘発させることからはじめます。
※MITでは患者様、ご家族様が理解しやすいようにできる限り専門用語を避けてわかりやすく説明しています。
がん細胞の表面にがんの目印を出現させ、免疫細胞の攻撃を誘導するMIT独自の免疫治療です。
がんの場合、全3回〜5回程度の通院で治療完了します。
※1回1時間程度
当院のネオアンチゲン免疫治療を行うためには、必ず当院のリスクチェッカー検査を行っていただきます。院長による詳細な分析結果の説明のもと、患者様一人ひとりに最適な治療を開始いたします。
約1〜2週間毎の通院治療から、治療経過によって約3ヶ月間程の治療期間を要します。
※ネオアンチゲン免疫治療は、通院1回ごとの治療評価が可能です。そのため、必ず何回受けなければならないといった制約はなく、治療費用も治療毎のお支払いとなります。
※稀に副作用として顔のほてりなどが生じる可能性があります。
※通院期間は患者様によって異なります。
リスクチェッカー検査はがんの早期発見、治療後の再発や転移の恐れの厳重な管理を目指す精密ながん検診です。検査は採血にかかるおよそ1〜2分程で完了する為、体への負担が少ない検査です。
全身27項目にも及ぶ精密検査から「がん発生の素地となる異常の有無」「がんの成長に際して増加する異常物質」を見極め、画像を用いた検診だけでは発見し得ない早期のリスク取り除きに努めます。
あなたのがん細胞に目印を立て、そのがん細胞だけを集中的に攻撃する。
転移を繰り返すいわゆる進行性のがん細胞は、活性化キラーT細胞からの攻撃を逃れるため、多くのケースで自分自身の目印となるMHCクラスI分子をがん細胞の中に隠してしまいます。
各種免疫療法等で、免疫力を高めても免疫機能ががん細胞を見つけられなくなり、がんの進行が収まらない理由はここにあります。
その隠れたMHCクラスI分子を引っ張り出し、免疫機能にがんの目印を教え続けることが、内因性ペプチド誘導治療です。
※「EPI complex点滴」での免疫抑制物質を排除する際に、稀に副作用として顔のほてりなどが生じる可能性があります。
※MITでは患者様、ご家族様が理解しやすいようにできる限り専門用語を避けてわかりやすく説明しています。
発現させた内因性ペプチドを目印に、活性化キラーT細胞が強力に攻撃を開始
がんの目印であるがんペプチドを感知したナイーブT細胞より成長したキラーT細胞・ヘルパーT細胞は、キラーT細胞ががん細胞への攻撃役・ヘルパーT細胞がその補助役として動き出します。
サイトカイン誘導治療は、ヘルパーT細胞の働きと、がん細胞を攻撃するキラーT細胞の特性に注目し、サイトカインインデューサー(CS-82MD)の短期間内服によって行われます。
※リンパ球機能を増殖させるにあたり、稀に副作用として顔のほてりなどが生じる可能性があります。
※MITでは患者様、ご家族様が理解しやすいようにできる限り専門用語を避けてわかりやすく説明しています。
免疫システムでがんに傷害を与えたのちに、ミトコンドリアからがん細胞を自滅させるアポトーシスを発令させる
本来正常な細胞は、細胞に大きな異変が生じた際、ミトコンドリアによって自ら自滅を行おうとする反応、アポトーシス(プログラムされた細胞死)が発令されます。がん細胞が無限に増殖しつづける理由には、がん細胞がミトコンドリアに甚大な障害を与えているためであり、この改善が急務となります。
アポトーシス誘導治療は、電子供与体ES-27含有成分の内服によって、がん細胞の内部に備わったミトコンドリア内部の酸化的リン酸化、電子伝達系といったしくみの改善を促し、効果的なアポトーシスの発令をめざす治療手法です。
※稀に副作用として顔のほてりなどが生じる可能性があります。
※MITでは患者様、ご家族様が理解しやすいようにできる限り専門用語を避けてわかりやすく説明しています。
内容 |
費用(税別) | |
| 初診料 | 20,000円 | 全ての患者様に、一律にかかる費用となります。 |
|---|---|---|
| リスクチェッカー検査 | 120,000円 | 免疫状況の問題点(がんの活動性、免疫低下のタイプ、性質等)を調べる検査です。 |
| 内因性ペプチド誘導(1回) | 520,000円 | リスクチェッカー検査結果をもとに患者様に合わせて治療法を選択します。 |
| サイトカイン誘導(1ヶ月分) | 40,000円 | |
| アポトーシス誘導(1ヶ月分) | 89,600円 | |
当院の治療は、保険適用外の自由診療のため全額自己負担になります。 |
||
内容 |
費用(税別) | |
| 初診料 | 20,000円 全ての患者様に、一律にかかる費用となります。 |
|
|---|---|---|
| リスクチェッカー検査 | 120,000円 免疫状況の問題点(がんの活動性、免疫低下のタイプ、性質等)を調べる検査です。 |
|
| 内因性ペプチド誘導(1回) | 520,000円 リスクチェッカー検査結果をもとに患者様に合わせて治療法を選択します。 |
|
| サイトカイン誘導(1ヶ月分) | 40,000円 | |
| アポトーシス誘導(1ヶ月分) | 89,600円 | |
当院の治療は、保険適用外の自由診療のため全額自己負担になります。 |
||
費用の一例(税込) |
|
| 初診料 | 20,000円 |
|---|---|
| リスクチェッカー検査 | 120,000円 |
| サイトカイン誘導治療(1ヶ月分) | 40,000円 |
| 消費税 | 14,400円 |
| 合計(税込) | 194,400円 |
ネオアンチゲン免疫治療は、細胞培養する免疫治療と違い治療回数を確定する必要がないため、
患者様のご状態に合わせたテーラーメイド治療が可能です。
治療費やお支払い方法に関しご不明な点などがございましたら、まずはお気軽にご相談ください。
当院での治療は、医療費控除の対象となります。
また、通院時にかかった交通費に関しても医療費控除の対象となります。
詳しくはお電話にてお問い合わせください。
※検査や治療費は都度のお支払いとなりますので、治療開始時にまとめてお支払いいただく必要はありません。
※従来の免疫療法とは手法が違うため、培養費用はかかりません。



〒104-0028
東京都中央区八重洲 2-5-6 KBYビル
3F 東京MITクリニック
TEL: 0120-621-636
電話受付:月〜金曜 9:30〜18:30(土日祝日を除く)