新型コロナウイルス感染対策として当院では「患者様と患者様が院内で接触せぬよう、完全予約制として1枠1予約システムを導入しております。


2年前、人間ドックにて膵臓の腫瘤を指摘。
その後すい臓がんとの診断を受け、引き続き手術を行った。
一見経過は順調そうに見えたが、一年経過時点で肝臓に多発性の転移がんが出現。
やむなく延命を目指し、抗がん剤を行うが著効なく、徐々に病状は進行。
この時点で肝転移したがん腫瘍も数十カ所に増え、腫瘍マーカーも著しい上昇を伴っていた。 即座にがん免疫の状況を詳細に調べる高度精密血液検査システム「リスクチェッカー」を実施。
それにより抗がん性サイトカインの軽度バランス不良と、予後不良を指し示すヘルパーT細胞2系(Th2)比率の軽度上昇が確認された。

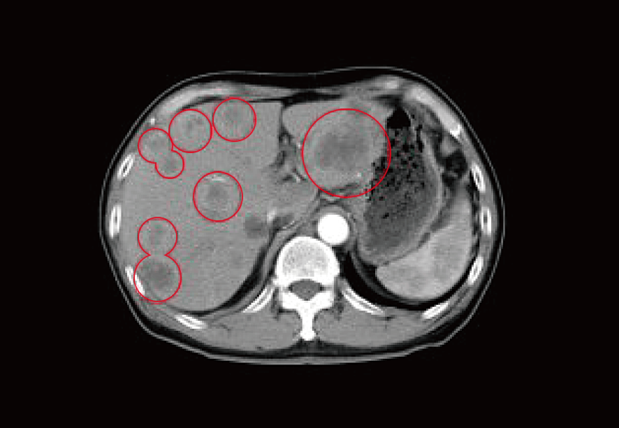
治療前CTでは肝臓全域に広がる肝転移病巣を認めている。

抗腫瘍効果の中心をなす抗がん性サイトカインは比較的良好な数値を示していた。
ただ予後不良を指し示すヘルパーTh2細胞比率に軽度上昇を認める

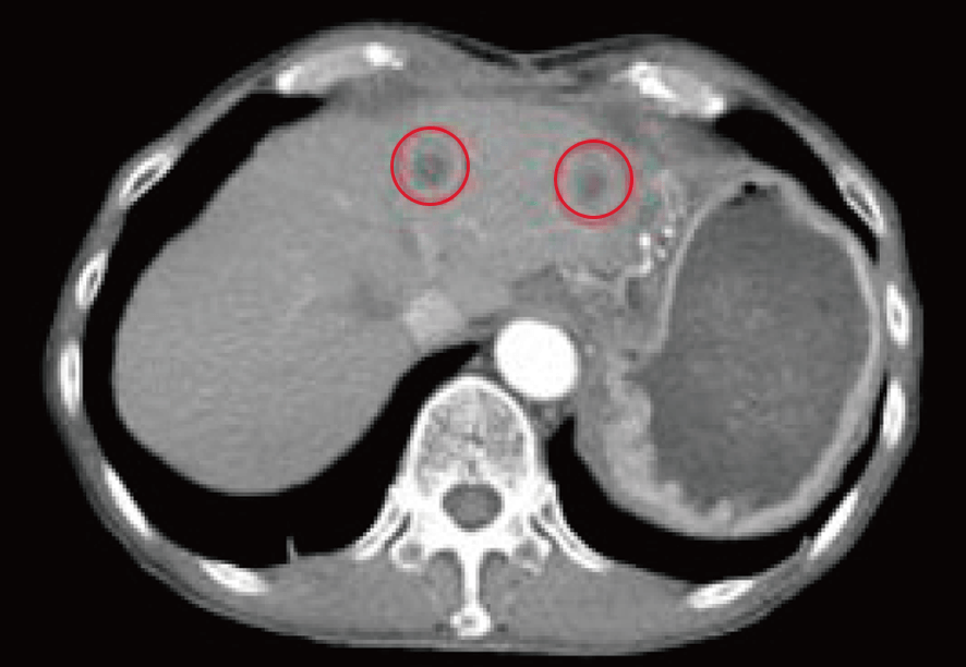
治療開始6カ月後のCT所見を示す。治療前には複数箇所に存在した転移性のがん腫瘍も肝臓の左葉に一部残存するのみで、治療は著効状態であった。
引き続きより一層の改善を目指し、内服治療の継続と経過観察を指示した。
すい臓がんの診断にておよそ5年前に根治手術を行ったケース。
その後の経過観察中、昨年になって肝臓に多発性転移が出現。すい臓がん再発と診断された。
引き続く治療としては抗がん剤の全身投与も検討されたが、高齢であり本人の拒否もあったことから治療は終了。
その後の対処は本人にすべて委ねられたが、日々腫瘍マーカーの上昇が認められ、体に優しいとされる免疫治療の実施を決断。
この時点で当院外来を受診となった。がん免疫の状況を詳細に調べる高度精密血液検査システム「リスクチェッカー」を実施。
抗がん性サイトカインの低下と、短命の目安・指標となりうるヘルパーT細胞2系(Th2)比率の上昇が認められた。

右肺の背面に原発性の肺がんと、その周囲のろっ骨浸潤が認められた。
この状況では手術による根治はほとんど期待できない。

抗腫瘍効果を良く反映するサイトカインに著しい低下が認められ、免疫によるがん排除能力の欠如が想定された。
またヘルパーTh2細胞比率の上昇は今後の予後不良を強く指し示し、早急なる治療対策が望まれた。

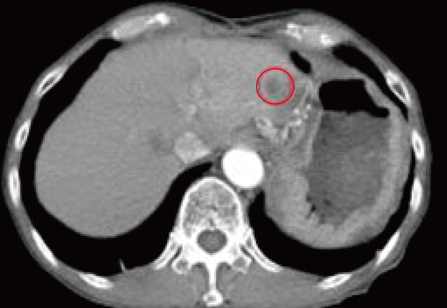
治療の開始後、およそ4カ月経過時点のCTを提示する。
画像上、肝臓に多発した転移がんは一カ所を除いて改善。
概ね縮小・共存関係に至ったと判断、引き続き経過観察を指示した。
長野県在住の男性・70歳
2018年の夏に実施した検診で発見されたすい臓がん。発見時にはすい臓の(頭部)と呼ばれる領域に太い血管の巻きこんだ大きながん腫瘍が認められ、手術不可能と判断された症例。その後、標準治療としてゲムシタビン・アブラキサンという強力な抗がん剤が投与されるも、一ヶ月ほどで副作用による白血球の著しい減少が認められたため治療は中止。その後、腫瘍マーカーも大幅に上昇したため、弊院を受診。
その際に実施したがん免疫精密検査「リスクチェッカー」の所見を示す。この時点で極度に進行した末期がん特有の免疫異常、①サイトカインと呼ばれる免疫生理活性物質、3種すべての低下、および②炎症性サイトカインの増加に関与するヘルパーT細胞2系(Th2)が極度に増加。また、同日に実施した腫瘍マーカー検査において、特にすい臓と腹部リンパ節系に関係した項目の著しい増加が認められ、このまま放置では厳しい予後状況が想定された。
そこで、従来実施しているペプチド誘導療法に加えて「GHペプチド誘導」をアレンジし、その10日後(10/26)より治療を開始。
治療開始より2ヶ月後(12/18)、5ヶ月後(翌2019年、3/15)、ならびに9ヶ月後(7/23)に実施した腫瘍マーカー検査では、回を重ねるごとに非常に良好な結果が続き、がん症状もほぼ消失。
現在は治療も終了し、経過を観察中である。






治療開始より2ヶ月後(12/18)、5ヶ月後(翌2019年、3/15)、ならびに9ヶ月後(7/23)に実施した腫瘍マーカー検査では、回を重ねるごとに非常に良好な結果が続き、がん症状もほぼ消失。
神奈川県在住の男性・85歳
2019年の1月にすい臓がんの末期、保険医療による標準治療の適応なしと診断された症例。
やむなく、その直後より他院にて遺伝子治療と称する治療および免疫療法を実施するも、症状は徐々に悪化したため、9月に知人の紹介で弊院を受診。
来院時にはすい臓がんの大きな腫瘤とともに、肝臓にも多発性の転移が認められた。また、これまで実施したとされる遺伝子・免疫治療等の効果確認もかねてがん免疫精密検査「リスクチェッカー」を実施するも、極度に進行した末期がん特有の免疫異常(サイトカインと呼ばれる免疫生理活性物質、3種すべての低下)が認められ、同日に実施した腫瘍マーカー検査でも、特にすい臓を中心とする腫瘍マーカーに著しい上昇が認められた。そのため、肝臓に転移した病変部の状況も踏まえると、このままの状況放置では厳しい予後状況が想定された。
そこで、従来実施しているペプチド誘導療法に加えて「GHペプチド誘導」をアレンジした治療を開始。治療開始よりおよそ2ヶ月後(11/1)、4ヶ月後(翌2020年、1/7)に実施した腫瘍マーカー検査を示す。その結果、上昇していた腫瘍マーカーも良好な低下を示し、訴えていた腹部症状も消失。現在も引き続き定期的な通院によって経過を観察中である。





治療開始よりおよそ2ヶ月後(11/1)、4ヶ月後(翌2020年、1/7)に実施した腫瘍マーカー検査を示す。その結果、上昇していた腫瘍マーカーも良好な低下を示し、訴えていた腹部症状も消失
東京都在住の男性・78歳
2018年の夏に胆管がんと診断されて手術を実施。しかしながら、2019年には肝臓への転移が発見された。その時点でもはや保険医療による標準治療の適応なしと診断、2020年1月になって弊院を受診。
初回の来院時に実施したがん免疫精密検査「リスクチェッカー」の所見を見ると、すでにこの時に極度に進行した末期がん特有の免疫異常である①サイトカインと呼ばれる免疫生理活性物質、3種すべての低下、および②炎症性サイトカインの増加に関与するヘルパーT細胞2系(Th2)が極度に増加。また、同日に実施した腫瘍マーカー検査において、特に肝胆膵領域と呼ばれる部位に関連した項目の著しい増加が多数認められ、このままの状態では早晩、急激な症状悪化が想定された。
そこで同月より、従来実施しているペプチド誘導療法に加えて「GHペプチド誘導」をアレンジした治療プログラムによって治療を開始。
治療開始より2ヶ月後(3/11)、4ヶ月後(翌5/1)に実施した腫瘍マーカー検査では、毎回著しい改善を示し、病状ならびにがんの活動性もほぼ制圧した状況まで回復。現在も内服治療のみを継続し経過を観察中である。





治療開始より2ヶ月後(3/11)、4ヶ月後(翌5/1)に実施した腫瘍マーカー検査では、毎回著しい改善を示し、病状ならびにがんの活動性もほぼ制圧した状況まで回復
一般的にがんが進行すると、自然免疫系を応用した免疫治療はもちろんのこと、獲得免疫系を応用した治療でさえ、治療効果を生かし切れないケースが増加してまいります。
比較的効果の弱い自然免疫系のNK細胞療法などでは、成長したがん細胞の活動性があまりに強大になるため対応が困難であるという点。また、獲得免疫系の治療であっても、主に抗体依存性の樹状細胞ペプチド療法などでは、本来がん細胞の表面に発現すべき「がん抗原ペプチド」の誘導が困難なために、がん細胞の除去が困難となる点が、そうした理由です。
そこで弊院では、特に進行したがん症例や、前述の免疫療法を実施しても成果が得にくい症例に対し、通常のペプチド誘導療法に加え新たに「GHペプチド誘導」対策をアレンジした治療を実施しています。
近年、がん細胞の成り立ちは老化性炎症(インフラメイジング)の持続によって生じたDNA傷害と、それに伴う高頻度な細胞分裂の繰り返しであるという事実が明らかになりました。そのため、「がんは若い性質を持った、非常に活発な細胞である」という従来の考え方が、大きな誤りであったという点で認識の変更が迫られたのです。
そこでこうした老化性炎症という病態に対し、改めてがん細胞に特殊な若返り対策を講じることで、DNA傷害を生じる以前に備わっていたはずの免疫排除力を再生するという方法が開発されたのです。それが、弊院で開発された「GHペプチド誘導」と呼ばれる治療方法です。
また、こうしたGHペプチド誘導は現時点までの検討において、「すい臓がん」「胆管がん」「肝臓がん」に対し、非常に効果的であることが判明しています。

がん細胞の表面にがんの目印を出現させ、免疫細胞の攻撃を誘導するMIT独自の免疫治療です。
がんの場合、全3回〜5回程度の通院で治療完了します。
※1回1時間程度
ネオアンチゲン免疫治療は抗がん剤治療、放射線治療など、そのほかの標準治療と並行して治療を受けることができます。
がん治療は時間との闘いとなる為、初診の医師の判断によって、直ぐに治療を開始する場合もございます。
MITでは上記の方やその他様々な症状の方を対象に、複合がん免疫治療である「ネオアンチゲン免疫治療」を提供しています。
当院の治療は、保険適用外の自由診療のため全額自己負担になります。 平均的な費用例はこちらをご確認ください。
当院のネオアンチゲン免疫治療は、あらゆるステージ・症状の患者様に治療をお受けいただくことが可能です。 現在抗がん剤治療を受けられている方から再発・進行がんの転移がある方まで、ステージの進んだ患者様もこれまでに多数ご来院いただいています。
また、当院がで行うネオアンチゲン免疫治療は、がん標準治療(これまで治療を受けてきた病院での治療)と併用して行うことができます。例えば、かかりつけ病院で化学療法や放射線治療を行いながら通院により当院にて免疫治療を行うといった併用治療が可能です。
まずは私たちMITに相談ください。万全の体制で「患者様の治りたい」という思いをサポートしてまいります。
※ 対象は自立歩行ができる方、お食事(流動食含む)が摂れている方となります。
※ 小児がんは対象外となります。

がん細胞に目印をたて、免疫細胞の攻撃を誘導し
症状に合わせた多種な攻撃を仕掛ける。
それが当院のネオアンチゲン免疫治療です。
ネオアンチゲン免疫治療の最大の特徴は、がん細胞の表面に「がんの目印」を出現させ、免疫細胞の攻撃を誘導することです。
そのためネオアンチゲン免疫治療は原発がんはもちろん、転移がんや進行がんにも適応します。
ネオアンチゲン免疫治療により出現させた「がんの目印」を目標に、原発がん転移がんの区別なく、免疫細胞の攻撃を誘発させます。
また、がんの種類や患者様の症状にあわせて、がん細胞への多様な攻撃方法を備えているのも特徴です。
サイトカイン誘導治療やアポトーシス誘導治療をはじめ、免疫チェックポイント阻害治療、細胞外マトリクス阻害治療、がん幹細胞治療等を駆使する、プレシジョンメディシン(精密医療)時代の新しいがん免疫治療です。
がんの目印 がんペプチドとは?
免疫細胞は、がん細胞が放出する「がんペプチド」という特殊な物質を目印に、がんへの攻撃を仕掛けます。
しかし増殖を繰り返すがん細胞には、この「がんペプチド」を細胞内に隠し、免疫細胞からの攻撃を避ける術をを備えています。
そのため当院の「ネオアンチゲン免疫治療」では、まず最初に「がんの目印」を出現させ、免疫細胞の攻撃を誘導・誘発させることからはじめます。
※MITでは患者様、ご家族様が理解しやすいようにできる限り専門用語を避けてわかりやすく説明しています。
がん細胞の表面にがんの目印を出現させ、免疫細胞の攻撃を誘導するMIT独自の免疫治療です。
がんの場合、全3回〜5回程度の通院で治療完了します。
※1回1時間程度
当院のネオアンチゲン免疫治療を行うためには、必ず当院のリスクチェッカー検査を行っていただきます。院長による詳細な分析結果の説明のもと、患者様一人ひとりに最適な治療を開始いたします。
約1〜2週間毎の通院治療から、治療経過によって約3ヶ月間程の治療期間を要します。
※ネオアンチゲン免疫治療は、通院1回ごとの治療評価が可能です。そのため、必ず何回受けなければならないといった制約はなく、治療費用も治療毎のお支払いとなります。
※稀に副作用として顔のほてりなどが生じる可能性があります。
※通院期間は患者様によって異なります。
リスクチェッカー検査はがんの早期発見、治療後の再発や転移の恐れの厳重な管理を目指す精密ながん検診です。検査は採血にかかるおよそ1〜2分程で完了する為、体への負担が少ない検査です。
全身27項目にも及ぶ精密検査から「がん発生の素地となる異常の有無」「がんの成長に際して増加する異常物質」を見極め、画像を用いた検診だけでは発見し得ない早期のリスク取り除きに努めます。
あなたのがん細胞に目印を立て、そのがん細胞だけを集中的に攻撃する。
転移を繰り返すいわゆる進行性のがん細胞は、活性化キラーT細胞からの攻撃を逃れるため、多くのケースで自分自身の目印となるMHCクラスI分子をがん細胞の中に隠してしまいます。
各種免疫療法等で、免疫力を高めても免疫機能ががん細胞を見つけられなくなり、がんの進行が収まらない理由はここにあります。
その隠れたMHCクラスI分子を引っ張り出し、免疫機能にがんの目印を教え続けることが、内因性ペプチド誘導治療です。
※「EPI complex点滴」での免疫抑制物質を排除する際に、稀に副作用として顔のほてりなどが生じる可能性があります。
※MITでは患者様、ご家族様が理解しやすいようにできる限り専門用語を避けてわかりやすく説明しています。
発現させた内因性ペプチドを目印に、活性化キラーT細胞が強力に攻撃を開始
がんの目印であるがんペプチドを感知したナイーブT細胞より成長したキラーT細胞・ヘルパーT細胞は、キラーT細胞ががん細胞への攻撃役・ヘルパーT細胞がその補助役として動き出します。
サイトカイン誘導治療は、ヘルパーT細胞の働きと、がん細胞を攻撃するキラーT細胞の特性に注目し、サイトカインインデューサー(CS-82MD)の短期間内服によって行われます。
※リンパ球機能を増殖させるにあたり、稀に副作用として顔のほてりなどが生じる可能性があります。
※MITでは患者様、ご家族様が理解しやすいようにできる限り専門用語を避けてわかりやすく説明しています。
免疫システムでがんに傷害を与えたのちに、ミトコンドリアからがん細胞を自滅させるアポトーシスを発令させる
本来正常な細胞は、細胞に大きな異変が生じた際、ミトコンドリアによって自ら自滅を行おうとする反応、アポトーシス(プログラムされた細胞死)が発令されます。がん細胞が無限に増殖しつづける理由には、がん細胞がミトコンドリアに甚大な障害を与えているためであり、この改善が急務となります。
アポトーシス誘導治療は、電子供与体ES-27含有成分の内服によって、がん細胞の内部に備わったミトコンドリア内部の酸化的リン酸化、電子伝達系といったしくみの改善を促し、効果的なアポトーシスの発令をめざす治療手法です。
※稀に副作用として顔のほてりなどが生じる可能性があります。
※MITでは患者様、ご家族様が理解しやすいようにできる限り専門用語を避けてわかりやすく説明しています。
内容 |
費用(税別) | |
| 初診料 | 20,000円 | 全ての患者様に、一律にかかる費用となります。 |
|---|---|---|
| リスクチェッカー検査 | 120,000円 | 免疫状況の問題点(がんの活動性、免疫低下のタイプ、性質等)を調べる検査です。 |
| 内因性ペプチド誘導(1回) | 520,000円 | リスクチェッカー検査結果をもとに患者様に合わせて治療法を選択します。 |
| サイトカイン誘導(1ヶ月分) | 40,000円 | |
| アポトーシス誘導(1ヶ月分) | 89,600円 | |
当院の治療は、保険適用外の自由診療のため全額自己負担になります。 |
||
内容 |
費用(税別) | |
| 初診料 | 20,000円 全ての患者様に、一律にかかる費用となります。 |
|
|---|---|---|
| リスクチェッカー検査 | 120,000円 免疫状況の問題点(がんの活動性、免疫低下のタイプ、性質等)を調べる検査です。 |
|
| 内因性ペプチド誘導(1回) | 520,000円 リスクチェッカー検査結果をもとに患者様に合わせて治療法を選択します。 |
|
| サイトカイン誘導(1ヶ月分) | 40,000円 | |
| アポトーシス誘導(1ヶ月分) | 89,600円 | |
当院の治療は、保険適用外の自由診療のため全額自己負担になります。 |
||
費用の一例(税込) |
|
| 初診料 | 20,000円 |
|---|---|
| リスクチェッカー検査 | 120,000円 |
| サイトカイン誘導治療(1ヶ月分) | 40,000円 |
| 消費税 | 14,400円 |
| 合計(税込) | 194,400円 |
ネオアンチゲン免疫治療は、細胞培養する免疫治療と違い治療回数を確定する必要がないため、
患者様のご状態に合わせたテーラーメイド治療が可能です。
治療費やお支払い方法に関しご不明な点などがございましたら、まずはお気軽にご相談ください。
当院での治療は、医療費控除の対象となります。
また、通院時にかかった交通費に関しても医療費控除の対象となります。
詳しくはお電話にてお問い合わせください。
※検査や治療費は都度のお支払いとなりますので、治療開始時にまとめてお支払いいただく必要はありません。
※従来の免疫療法とは手法が違うため、培養費用はかかりません。




よくあるご質問以外にもご不明な点がございましたら、お電話にてお問い合わせくださいませ。
ネオアンチゲン免疫治療による有効症例や、MITについての詳しい資料を、無料にてお送りさせていただきます。
資料は郵送でお届け致します。
到着まで2〜3日のお時間を要しますことをご了承ください。
下記フォームに必要事項をご入力いただき、「プライバシーポリシー」をご確認のうえ送信してください。
MITは膵臓がん患者が多く来院されているクリニックです。
詳しい症例は下記の資料をご請求ください。
MITは膵臓がん患者が多く来院されているクリニックです。詳しい症例は下記の資料をご請求ください。

〒104-0028
東京都中央区八重洲 2-5-6 KBYビル
3F 東京MITクリニック
TEL: 0120-621-636
電話受付:月〜金曜 9:30〜18:30(土日祝日を除く)